|沙雕动画,搞笑:校园最美的食堂,结果太闹心了

文章插图
一、手术肿瘤切掉了为什么还会复发?癌症之所以会复发有两个原因,一是因为原来的治疗过程并未将癌细胞全部清理干净,在清除大部分癌细胞之后残留一部分,当这部分细胞长大成为一个新的肿瘤表现出一定症状,也就是所谓癌症的复发;一个肿瘤细胞的直径大约为10微米,比头发丝细的多,肉眼根本是看不见的,需要用显微镜,放大几百倍,才能看得比较清晰。有科学家做过研究,直径1立方厘米左右的肿瘤团块,大概有10的9次方的癌细胞,也就是10亿的癌细胞。还有一种情况是原来的癌细胞已经发生扩散转移,并到达身体的其他部位,当细胞在新的地方安营扎寨之后就会长出一个新的肿瘤,症状表现也会更加明显。
文章插图
以上就是手术肿瘤切掉了癌症还会复发的原因,那在肿瘤切除手术的时候医生是怎么判断肿瘤切干净没有的?二、医生靠这3个方法判断肿瘤是否切除干净1、用肉眼看这是最原始的方法,也是在临床中最常用的方法大多数肿瘤和周围的正常组织都有一定的差异。这种差异可能很明显,尤其是良性肿瘤。有的良性肿瘤周围有一层膜包裹,和周围的正常组织分界明显,医生只需要带着这层膜将肿瘤剥离下来即可。但是有些肿瘤,尤其是恶性肿瘤,和正常组织差别不大。这个时候,就是考验医生本领的时候了,经验丰富的医生,可以通过肉眼分辨出来细小的差距。
文章插图
2、保证足够的手术切缘做手术的时候,切除原发癌症的时候,不能紧贴着癌结节切除,而是需要远离肿瘤组织,需要切除一部分正常组织。因为癌细胞是呈浸润性生长的,就像螃蟹或者章鱼的脚一样,像四周生长。肿瘤的周围组织,看起来正常,但是可能已经有癌细胞了。为了保证切缘阴性,一般需要距离5厘米左右切除整块正常组织和癌症。3、术中冰冻病理检查技术病理检查,是指病理医生通过显微镜观察病变的细胞形态、组织结构,从而确定病变的性质。当我们的肉眼已经无法判定肿瘤的时候,就需要术中冰冻病理检查技术出马了。手术台上,医生会在病灶边缘切下来一小块组织,立马送到病理检查实验室。在这里等待的病理医生会把这块组织极速冰冻,然后再切成一片片薄薄的薄片,放到显微镜下进行仔细观察。病理医生如果从中发现了癌细胞,那么就会通知手术医生,让手术医生继续扩大切除范围。如果在这里面,已经看不见癌症细胞了,那么说明这个位置已经干净了,病理科医生就会告知手术医生,让手术医生停止切除,结束手术。癌症细胞在显微镜下可以出现各种各样的形态,可能从肉眼上我们看不出区别,但是在显微镜下,癌细胞和正常细胞的差异还是很大的。显微镜让肿瘤细胞无处可逃。
文章插图
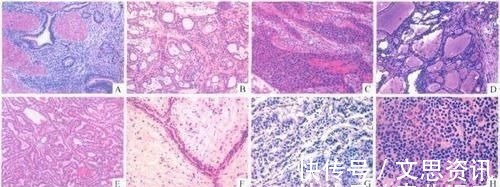
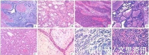
上图是显微镜下的各种肿瘤组织形态除了以上三种方法,医生还可以从整块的切除原发肿瘤、清扫肿瘤引流区域的淋巴结、术中磁共振技术、酷炫的荧光显色技术等方法,来判断肿瘤是否切除干净。
- 直播跳舞!全红婵视频教哥哥跳舞,胖大哥扭腰笑不停:兄妹都搞笑
- 搞笑女!陈若琳给全红婵戴“紧箍咒”,红姐戴发带紧闭双眼一脸陶醉
- 谐音梗搞笑段子之二
- “20张搞笑图片,大晚上的笑得肚子疼”(1)
- 20张搞笑图片,笑的我一晚上没睡着
- 社牛天花板!全红婵向中国粉丝敬礼谢场,握手握不过来:我也是搞笑女!
- 谐音梗搞笑段子
- 妹子|搞笑GIF:这傲娇的小眼神,让人不敢靠近
- 宝身|搞笑GIF:从喵宝与汪宝身上就能看得出“猫手贱,狗嘴贱”
- 一会|GIF搞笑趣图:我是让你这样玩的吗?我只是累了!休息一会!
